インプラント治療とは

こんな人にオススメです
    ●入れ歯が合わなくて困っている人
    ●健康な歯を歯を削りたくない人
    ●入れ歯ではなく、自然な歯並びを取り戻したい人

歯が抜けたところに人工歯根(インプラント)を埋め込み、その上に人工の歯をかぶせることで、歯の機能を回復させるだけでなく、自然な歯並びをよみがえらせる治療法です。



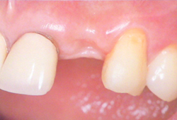
治療例

治 療 前 治 療 後
当院のインプラントシステムはP.O.Iシステムを採用しています。



従来の治療法との比較


歯が一本だけ抜けたときの治療法

ブリッジ

ブリッジの支台とするために、両隣の健康な歯を
削らなくてはなりません。



インプラント

歯の抜けたところにインプラントを埋め込むので
両隣にある健康な歯を触ることなく単独で欠損部
に歯が生えます。






奥歯が数本抜けたときの治療法

部分入れ歯

部分入れ歯は歯茎で噛むために、本来の噛む力が
最大でも30%ぐらいまでしか回復できません。
また、入れ歯を固定するためにバネがかかる歯が
ありますが、この歯には相当な負担もかかります。

インプラント

直接インプラントで噛むので本来の噛む力の90%
以上の回復が見込めます。
また、バネのかかる歯がないので健康な歯には
一切の負担はありません。




歯が全て抜けてしまったときの治療法

総入れ歯

歯茎だけで噛むので歯茎の土手がない患者さんは、
入れ歯が動いて非常に安定が悪く、傷にもなりやすい
ですし噛む力も20%以下です。



インプラント併用

数本のインプラントを入れ歯の下に入れることに
より、マグネットの吸着力を利用することができ、
入れ歯の安定がよくなります。
このことにより、噛む力が増加し、入れ歯のずれに
よる傷ができるのを防ぎます。


(マグネットを使用した治療例)



                                                                               ▲TOP







提供:JMM